MEDizzy
MEDizzy
Zunaira saleh
Zunaira salehabout 1 year ago
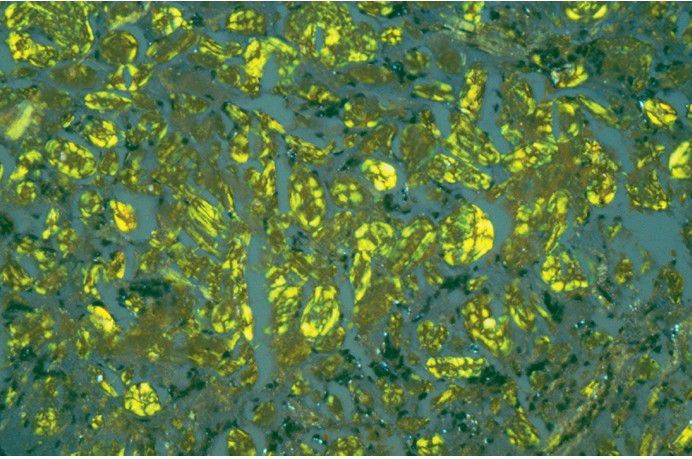
Calcifying Epithelial Odontogenic Tumor.

Calcifying Epithelial Odontogenic Tumor.

 With Congo red staining, the pools of amyloid exhibit an apple-green birefringence when viewed with polarized light. 

0
Other commentsSign in to post comments. You don't have an account? Sign up now!

Recent MCQs















Show more MCQs

Recent flashcard sets















Show more flashcards