MEDizzy
MEDizzy
Zunaira saleh
Zunaira salehabout 1 year ago
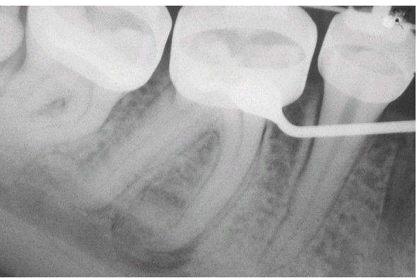
Osteoid Osteoma

Osteoid Osteoma

. A circumscribed, mixed radiolucent and radiopaque lesion near the apex of mesial root of mandibular first molar. The patient had dull, nocturnal pain that was relieved by aspirin.

0
Other commentsSign in to post comments. You don't have an account? Sign up now!

Recent MCQs















Show more MCQs

Recent flashcard sets















Show more flashcards