MEDizzy
MEDizzy
Zunaira saleh
Zunaira salehabout 1 year ago
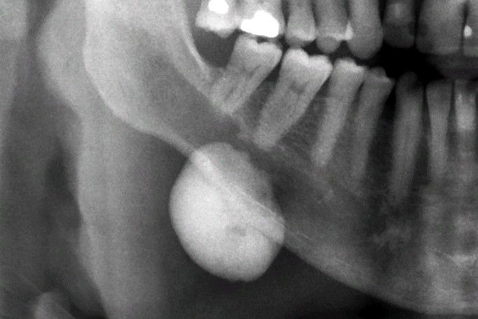
Osteoma

Osteoma

. Panoramic radiograph showing a uniformly sclerotic mass arising from the surface of the posterior mandible.

0
Other commentsSign in to post comments. You don't have an account? Sign up now!

Recent MCQs















Show more MCQs

Recent flashcard sets















Show more flashcards