Feed
Library
Learning
Discuss
Leaderboard
Journal
Sign in
Login
Sign up
Sign in
Feed
Library
Learning
Discuss
Leaderboard
Journal
Zunaira saleh
about 1 year ago
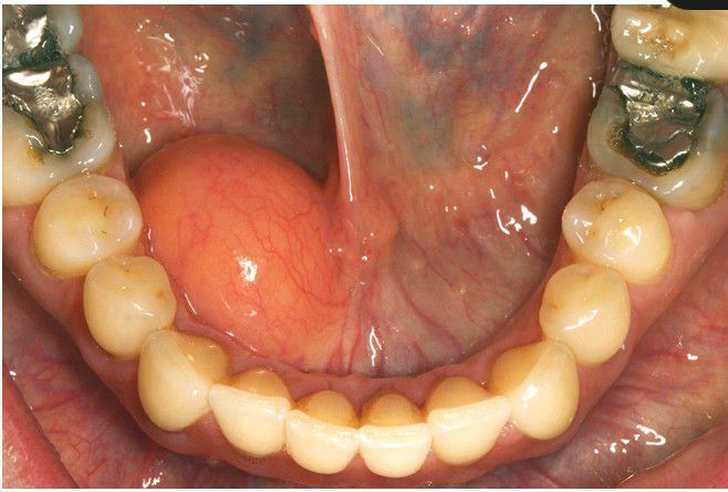
Lipoma
Soft, yellow nodular mass in the floor of the mouth.
Mass
Lipoma
Nodule
0
0
0
Other comments
Sign in
to post comments. You don't have an account?
Sign up now!
Related posts
Procedure for FNAC of palpable masses
Matted mass of lymph nodes.
Laryngeal nodule.
Nodular enlargement of the prostate.
Nodular hyperplasia of the prostate.
Lipoma
Lipoma
Lipoma
Lipoma
Lipoma
Recent MCQs
Show more MCQs
Recent flashcard sets
Show more flashcards
Feed
Learn
Add
Search
Discuss