MEDizzy
MEDizzy
Zunaira saleh
Zunaira salehover 1 year ago
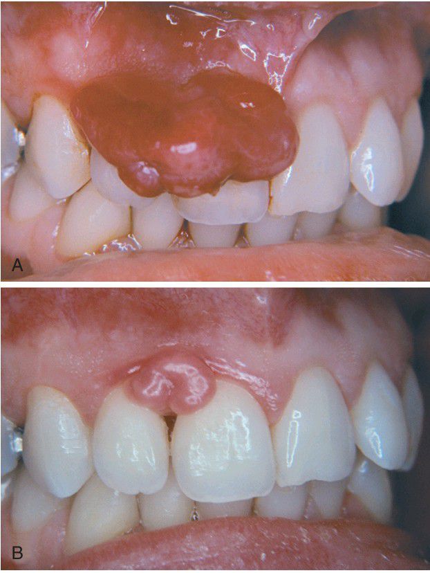
Pyogenic Granuloma

Pyogenic Granuloma

. A, Large gingival mass in a pregnant woman just before childbirth. B, The mass has decreased in size and undergone fibrous maturation 3 months after childbirth.

0
Other commentsSign in to post comments. You don't have an account? Sign up now!

Recent MCQs















Show more MCQs

Recent flashcard sets















Show more flashcards