Feed
Library
Learning
Discuss
Leaderboard
Journal
Sign in
Login
Sign up
Sign in
Feed
Library
Learning
Discuss
Leaderboard
Journal
Zunaira saleh
over 1 year ago
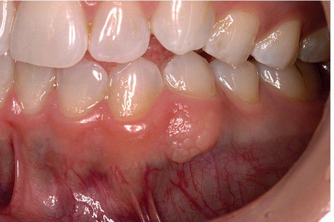
Intramucosal Melanocytic Nevus
. This intramucosal nevus of the mandibular gingiva is nonpigmented. (Courtesy of Dr. James Jacobs.)
Nevus
Melanocytic
Intramucosal
0
0
0
Other comments
Sign in
to post comments. You don't have an account?
Sign up now!
Related posts
Nevocellular nevus
Melanocytic (Intradermal) Nevus
Melanocytic (Intradermal) Nevus
Intramucosal Melanocytic Nevus
Congenital Melanocytic Nevus
Congenital Melanocytic Nevus
Halo Nevus.
Blue Nevus
White Sponge Nevus
Melanocytic naevi.
Recent MCQs
Show more MCQs
Recent flashcard sets
Show more flashcards
Feed
Learn
Add
Search
Discuss