MEDizzy
MEDizzy
Iqra
Iqraover 1 year ago
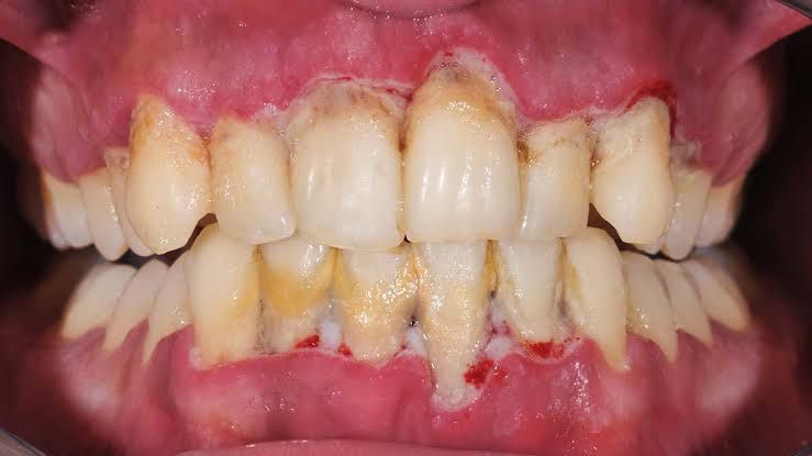
Symptoms of periodontal diseases

Symptoms of periodontal diseases

Periodontal disease symptoms may include: Reddish or purplish gums. Bleeding. Soreness. Bad breath (halitosis). Unpleasant taste. Pain when chewing. Gum recession (gums that pull away from your teeth). Loose teeth.

0
Other commentsSign in to post comments. You don't have an account? Sign up now!

Recent MCQs















Show more MCQs

Recent flashcard sets















Show more flashcards