MEDizzy
MEDizzy
Zunaira saleh
Zunaira salehover 1 year ago
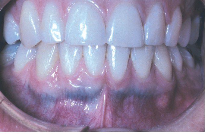
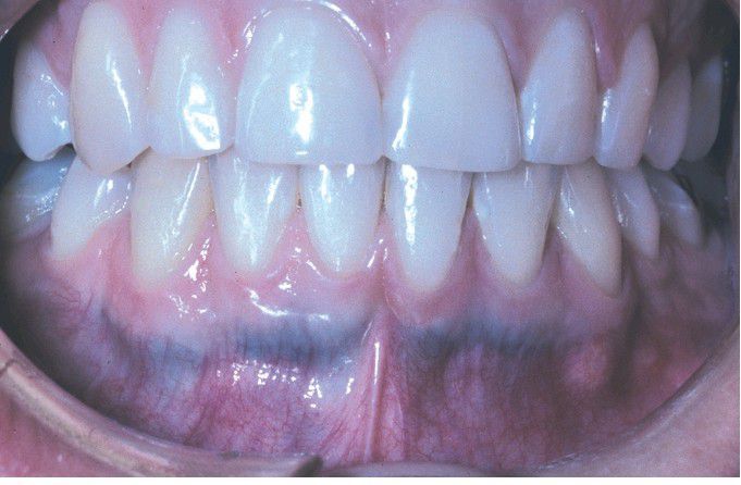
Minocycline-related Discoloration

Minocycline-related Discoloration

. Blue-gray discoloration of the facial surface of the anterior mandibular alveolus because stained alveolar bone is visible through the thin mucosa

0
Other commentsSign in to post comments. You don't have an account? Sign up now!

Recent MCQs















Show more MCQs

Recent flashcard sets















Show more flashcards