MEDizzy
MEDizzy
Zunaira saleh
Zunaira salehover 1 year ago
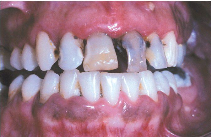
Smoker’s Melanosis

Smoker’s Melanosis

. Light, diffuse melanin pigmentation in a white female who is a heavy smoker. Pigmentary changes are limited to the anterior facial gingiva.

0
Other commentsSign in to post comments. You don't have an account? Sign up now!

Recent MCQs















Show more MCQs

Recent flashcard sets















Show more flashcards