MEDizzy
MEDizzy
Zunaira saleh
Zunaira salehover 1 year ago
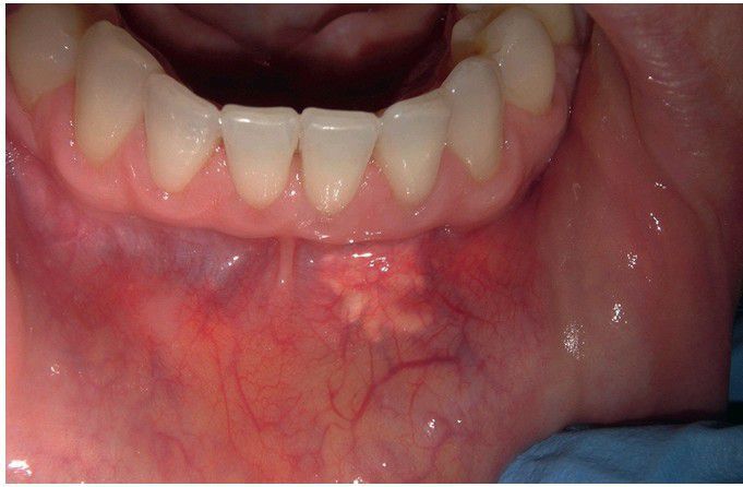
Cosmetic Filler Material.

Cosmetic Filler Material.

 Yellow submucosal mass of the mandibular labial vestibule. Biopsy revealed hydroxyapatite (Radiesse) with fibrosis and granulomatous inflammation. 

0
Other commentsSign in to post comments. You don't have an account? Sign up now!

Recent MCQs















Show more MCQs

Recent flashcard sets















Show more flashcards