MEDizzy
MEDizzy
Zunaira saleh
Zunaira salehover 1 year ago
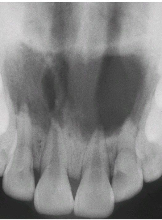
Periapical Abscess

Periapical Abscess

Multiple, overlapping radiolucencies of the anterior maxilla are present. All four maxillary incisors exhibit pulpal necrosis

0
Other commentsSign in to post comments. You don't have an account? Sign up now!

Recent MCQs















Show more MCQs

Recent flashcard sets















Show more flashcards