Feed
Library
Learning
Discuss
Leaderboard
Journal
Sign in
Login
Sign up
Sign in
Feed
Library
Learning
Discuss
Leaderboard
Journal
Zunaira saleh
over 1 year ago
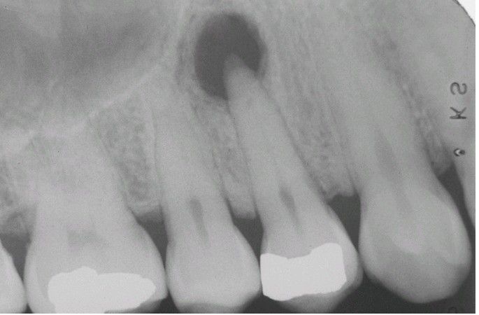
Periapical Granuloma
. Well-defined radiolucency associated with the apex of the maxillary first bicuspid.
Oralpathology
Granuloma
Periapical
0
0
0
Other comments
Sign in
to post comments. You don't have an account?
Sign up now!
Related posts
Root end resection
History of present complaint
Deceptive normal variant
Deceptive normal variant
Chronic periapical abscess
Giant cell granuloma.
Pyogenic granuloma
Peripheral giant cell granuloma
Peripheral giant cell granuloma
Periapical Pathologies
Recent MCQs
Show more MCQs
Recent flashcard sets
Show more flashcards
Feed
Learn
Add
Search
Discuss