MEDizzy
MEDizzy
Zunaira saleh
Zunaira salehover 1 year ago
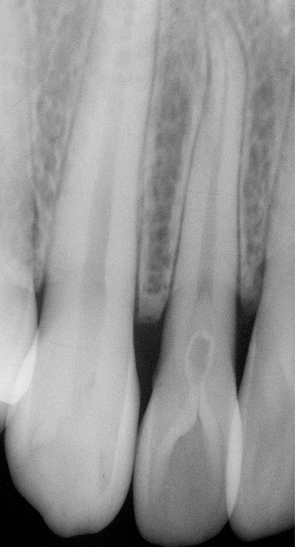
Coronal Dens Invaginatus Type II

Coronal Dens Invaginatus Type II

. Maxillary lateral incisor exhibiting invagination of the surface enamel that extends below the cementoenamel junction. 

0
Other commentsSign in to post comments. You don't have an account? Sign up now!

Recent MCQs















Show more MCQs

Recent flashcard sets















Show more flashcards