MEDizzy
MEDizzy
Zunaira saleh
Zunaira salehover 1 year ago
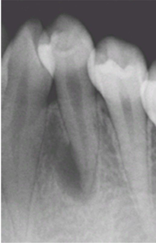
Dens evaginatus

Dens evaginatus

 Note the tuberculated occlusal anatomy. Attrition on the accessory cusp led to pulpal necrosis and periapical inflammatory disease. 

0
Other commentsSign in to post comments. You don't have an account? Sign up now!

Recent MCQs















Show more MCQs

Recent flashcard sets















Show more flashcards