Feed
Library
Learning
Discuss
Leaderboard
Journal
Sign in
Login
Sign up
Sign in
Feed
Library
Learning
Discuss
Leaderboard
Journal
Zunaira saleh
almost 2 years ago
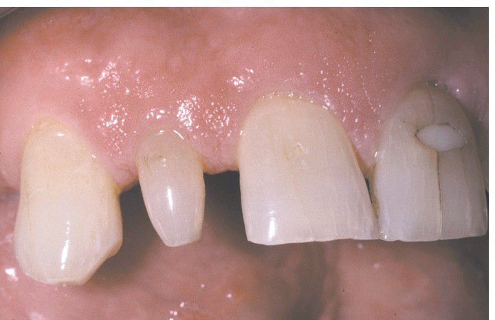
Peg lateral
Isolated Microdontia (Peg Lateral). Small, coneshaped right maxillary lateral incisor.
Oralpathology
Lateral
Peg
0
0
0
Other comments
Sign in
to post comments. You don't have an account?
Sign up now!
Related posts
irreversible pulpitis
Cementoma
Lateral inhibition
Lateral Luxation
History of present complaint
Deceptive normal variant
Deceptive normal variant
Missing lateral incisors
Missing lateral incisors
Peg shaped or conical teeth
Recent MCQs
Show more MCQs
Recent flashcard sets
Show more flashcards
Feed
Learn
Add
Search
Discuss