MEDizzy
MEDizzy
Zunaira saleh
Zunaira salehalmost 2 years ago
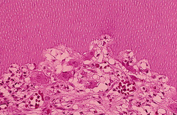
Internal resorption histopathology

Internal resorption histopathology

Resorption of the inner dentinal wall of the pulp. Note cellular and vascular fibrous connective tissue, which exhibits an adjacent inflammatory infiltrate and numerous dentinoclasts within resorptive lacunae

0
Other commentsSign in to post comments. You don't have an account? Sign up now!

Recent MCQs















Show more MCQs

Recent flashcard sets















Show more flashcards