MEDizzy
MEDizzy
Zunaira saleh
Zunaira salehalmost 2 years ago
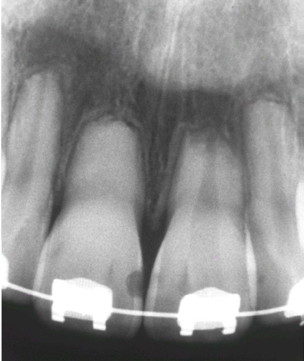
External resorption

External resorption

Diffuse external resorption of radicular dentin of maxillary dentition. This process arose after initiation of orthodontics. 

0
Other commentsSign in to post comments. You don't have an account? Sign up now!

Recent MCQs















Show more MCQs

Recent flashcard sets















Show more flashcards