MEDizzy
MEDizzy
Zunaira saleh
Zunaira salehalmost 2 years ago
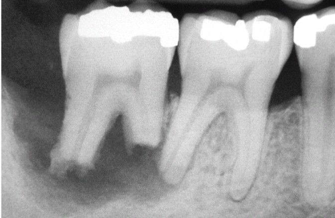
External resorption

External resorption

Extensive irregular destruction of both roots of the mandibular second molar associated with chronic periodontitis. (Courtesy of Dr. Tommy Shimer.)

0
Other commentsSign in to post comments. You don't have an account? Sign up now!

Recent MCQs















Show more MCQs

Recent flashcard sets















Show more flashcards