Feed
Library
Learning
Discuss
Leaderboard
Journal
Sign in
Login
Sign up
Sign in
Feed
Library
Learning
Discuss
Leaderboard
Journal
JA
Juned Ali
almost 7 years ago
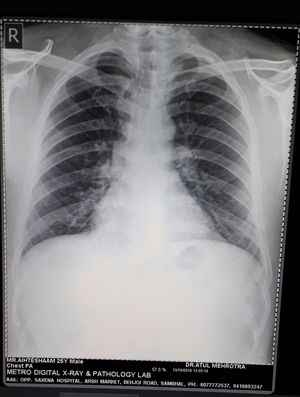
Diagnose the CXR
A pateint with the history of #smoking and # mild cough. #Age 25 years #young man
Xrays
Cxray
Center
Digital
Metro
4
0
0
Other comments
Sign in
to post comments. You don't have an account?
Sign up now!
Related posts
Identify the Pathology
Bitewing radiograph
Pigg-O-Stat- Immobilization device
Use of Pigg-O-Stat- Immobilization device
Respiratory center
Brainstem inspiratory area
Vomiting center
Feeding and satisty centers
Cad cam system
Digital impression systems
Recent MCQs
Show more MCQs
Recent flashcard sets
Show more flashcards
Feed
Learn
Add
Search
Discuss