MEDizzy
MEDizzy
Zunaira saleh
Zunaira salehalmost 2 years ago
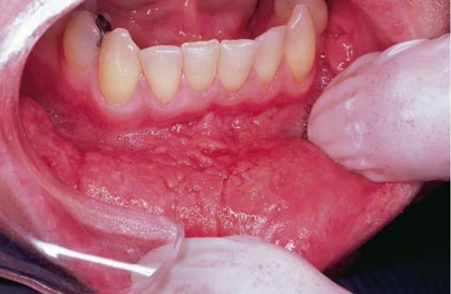
Pyostomatitis vegetans

Pyostomatitis vegetans

The cause of pyostomatitis vegetans is unknown, although it may be seen in association with ulcerative colitis, spastic colitis, chronic diarrhea, and Crohn’s disease. More than 25% of cases are not associated with gastrointestinal disturbance

0
Other commentsSign in to post comments. You don't have an account? Sign up now!

Recent MCQs















Show more MCQs

Recent flashcard sets















Show more flashcards