Feed
Library
Learning
Discuss
Leaderboard
Journal
Sign in
Login
Sign up
Sign in
Feed
Library
Learning
Discuss
Leaderboard
Journal
Zunaira saleh
almost 2 years ago
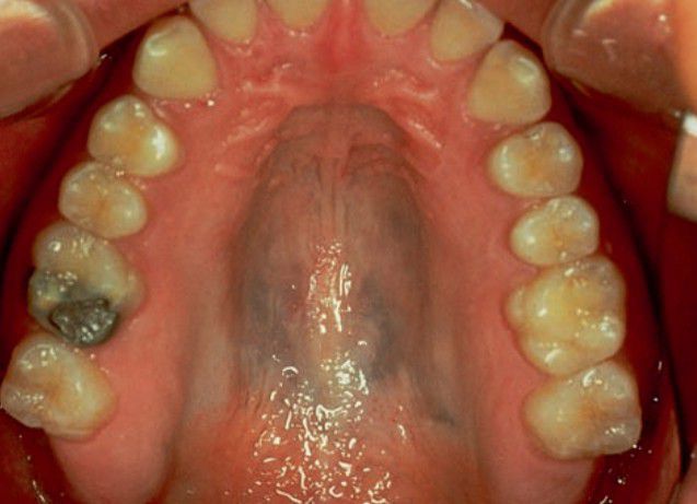
Drug induced pigmentation
This clinical picture represents minocycline induced pigmentation of palate.
Oralpathology
Drug
Pigmentation
0
0
0
Other comments
Sign in
to post comments. You don't have an account?
Sign up now!
Related posts
Drug Monitoring Requirements I
Drug Monitoring Requirements II
Drug Monitoring Requirements III
Drug Monitoring Requirements IV
Drug Monitoring Requirements V
Drug Monitoring Requirements VI
History of present complaint
Deceptive normal variant
Deceptive normal variant
Racial pigmentation
Recent MCQs
Show more MCQs
Recent flashcard sets
Show more flashcards
Feed
Learn
Add
Search
Discuss