MEDizzy
MEDizzy
Zunaira saleh
Zunaira salehalmost 2 years ago
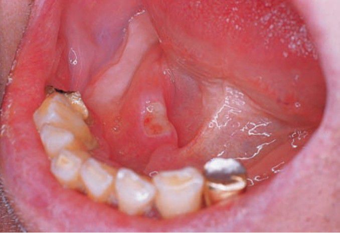
Minor aphthous ulcer (floor of mouth)

Minor aphthous ulcer (floor of mouth)

This type usually appears as a single, painful, oval ulcer that is less than 0.5 cm in diameter, covered by a yellow fibrinous membrane and surrounded by an erythematous halo.

0
Other commentsSign in to post comments. You don't have an account? Sign up now!

Recent MCQs















Show more MCQs

Recent flashcard sets















Show more flashcards