MEDizzy
MEDizzy
Zunaira saleh
Zunaira salehalmost 2 years ago
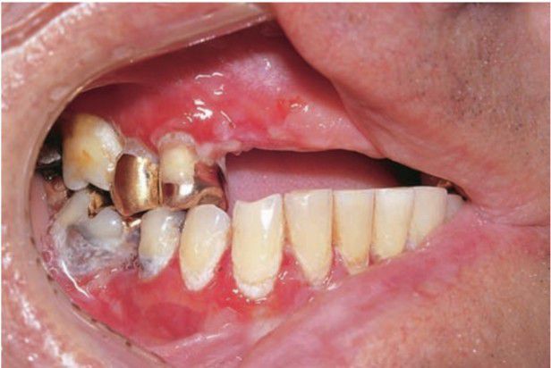
Mucous membrane pemphigoid

Mucous membrane pemphigoid

Mucous membrane pemphigoid (MMP) is a chronic blistering or vesiculobullous disease that affects predominantly oral and ocular mucous membranes.

0
Other commentsSign in to post comments. You don't have an account? Sign up now!

Recent MCQs















Show more MCQs

Recent flashcard sets















Show more flashcards