MEDizzy
MEDizzy
Zunaira saleh
Zunaira salehalmost 2 years ago
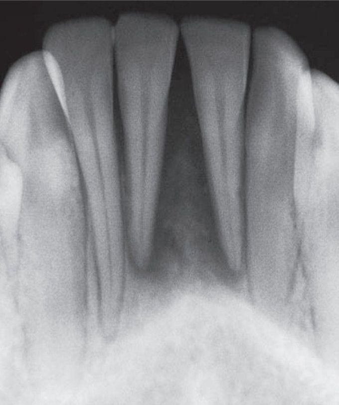
Metastatic osteosarcoma to anterior mandible

Metastatic osteosarcoma to anterior mandible

Pain or paresthesia common; origin is most likely from a malignancy of breast, kidney, lung, colon, prostate, or thyroid.

0
Other commentsSign in to post comments. You don't have an account? Sign up now!

Recent MCQs















Show more MCQs

Recent flashcard sets















Show more flashcards