MEDizzy
MEDizzy
Zunaira saleh
Zunaira salehalmost 2 years ago
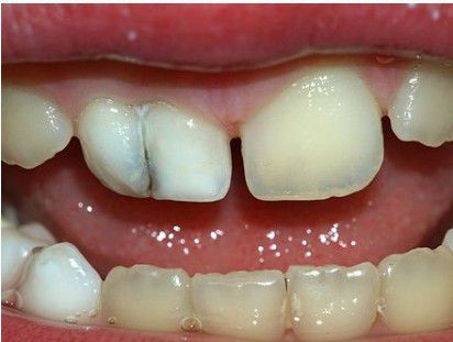
Fusion of two deciduous teeth.

Fusion of two deciduous teeth.

Tooth fusion arises through union of two normally separated tooth germs, and depending upon the stage of development of the teeth at the time of union, it may be either complete or incomplete. O

0
Other commentsSign in to post comments. You don't have an account? Sign up now!

Recent MCQs















Show more MCQs

Recent flashcard sets















Show more flashcards