
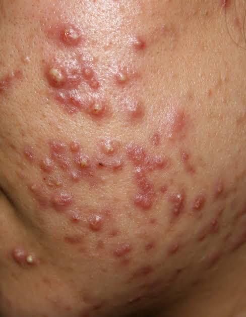
Acne vulgaris is a common cutaneous inflammatory disorder of the pilosebaceous unit, which runs a chronic course. The condition commonly manifests with papules, pustules, or nodules primarily on the face, although it can also affect the upper arms, trunk, and back.