
What is the diagnosis? Adrenal cancer Echinococcal infection Meckel's diverticulitis Pneumatosis intestinalis Trichobezoar
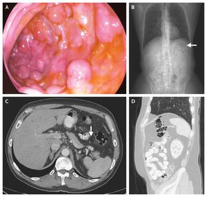
Since the lesions had bluish hue and easily indented, pnuematosis intestinalis is suspected.. Ct revealed multiple air pockets in the intestinal wall at the splenic flexure (image b) and some free intraperitoneal air (image c).Pneumatosis intestinalis is diagnosed by the presence of air pockets in the intestinal wall. the condition may also occur in a benign context and is no longer considered a disease but rather a sign, in most of the cases patient required no specific treatment and has remained asymptomatic,. It was the case of new England journal.....