MEDizzy
MEDizzy
Hunain
Hunainalmost 2 years ago
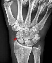
What causes scaphoid fractures

What causes scaphoid fractures

Any impact to your wrist can cause scaphoid fractures. The most common causes include: Falls: Catching yourself with outstretched arms. Sports injuries. Car accidents.

0
Other commentsSign in to post comments. You don't have an account? Sign up now!

Recent MCQs















Show more MCQs

Recent flashcard sets















Show more flashcards