MEDizzy
MEDizzy
Hunain
Hunainalmost 2 years ago
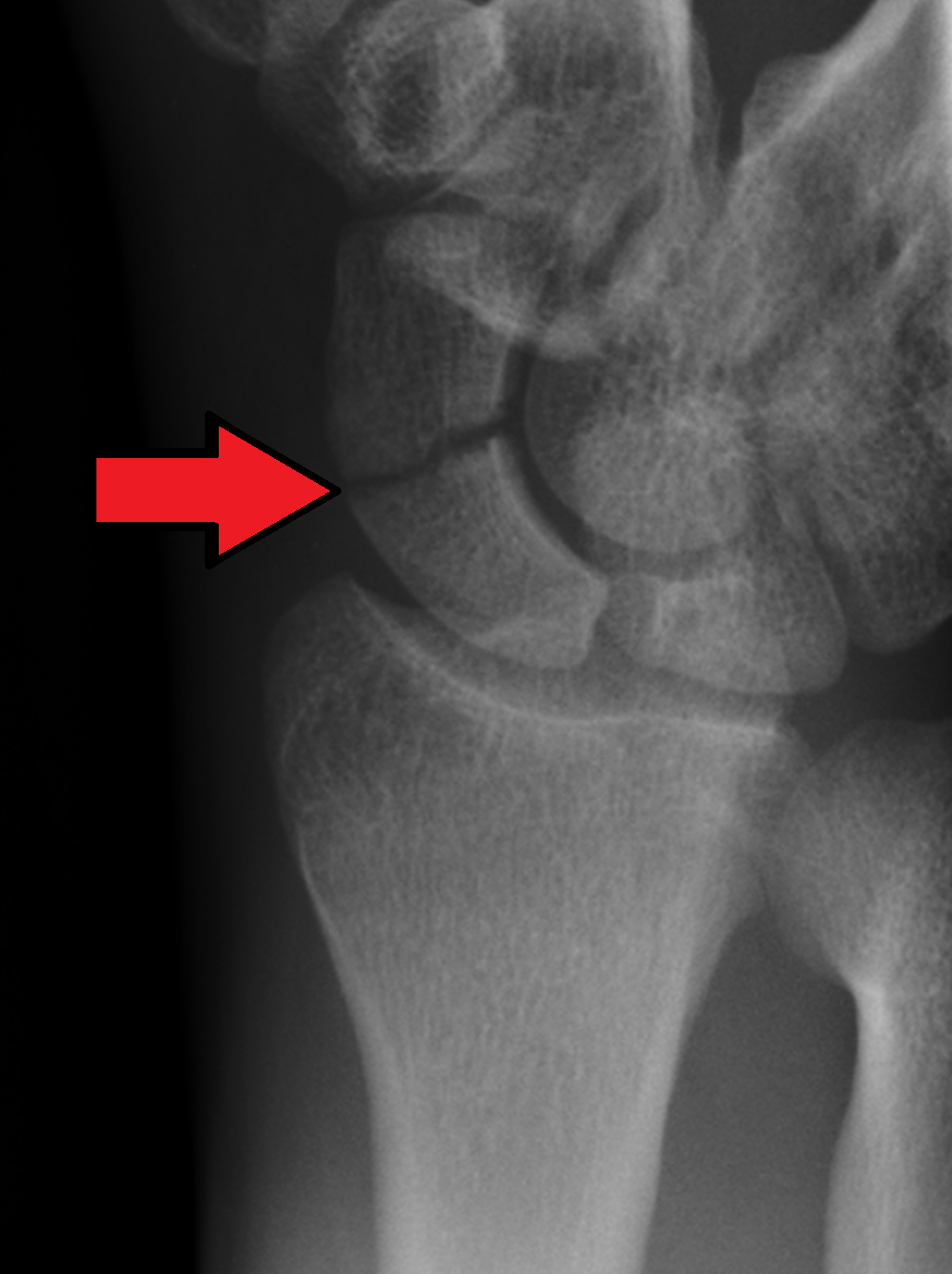
symptoms of a scaphoid fracture

symptoms of a scaphoid fracture

Symptoms of a scaphoid fracture include: Pain. Swelling. Tenderness. Inability to move your wrist. Bruising or discoloration. A deformity or bump that’s not usually on your wrist.

0
Other commentsSign in to post comments. You don't have an account? Sign up now!

Recent MCQs















Show more MCQs

Recent flashcard sets















Show more flashcards