
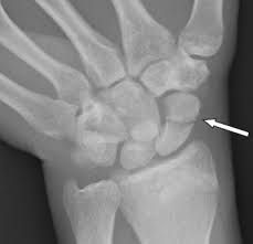
Scaphoid fractures are a type of broken wrist. They happen when you break your scaphoid bone — a small bone near the base of your thumb. Your scaphoid is one of your carpal bones, the collection of bones that makes up your wrist. Scaphoid fractures are almost always caused by catching yourself with outstretched arms after a fall. Car accidents and other traumas can also cause them. You might need surgery to repair your bone. Most people need around three months to recover from a scaphoid fracture.