
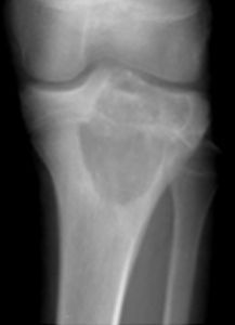
Symptoms of chondroblastoma may vary depending on the location of the tumor. The most common symptoms include: Pain in the knee, hip, and shoulder joint that may be slight or moderate and may be felt for months or years Withered or shrunken appearance of the muscle near the affected bone Joint stiffness Joint swelling A limp if the tumor is in the leg The symptoms may look like other medical conditions or problems. Always talk with your healthcare provider for a diagnosis.