Feed
Library
Learning
Discuss
Leaderboard
Journal
Sign in
Login
Sign up
Sign in
Feed
Library
Learning
Discuss
Leaderboard
Journal
Dr Usman
almost 2 years ago
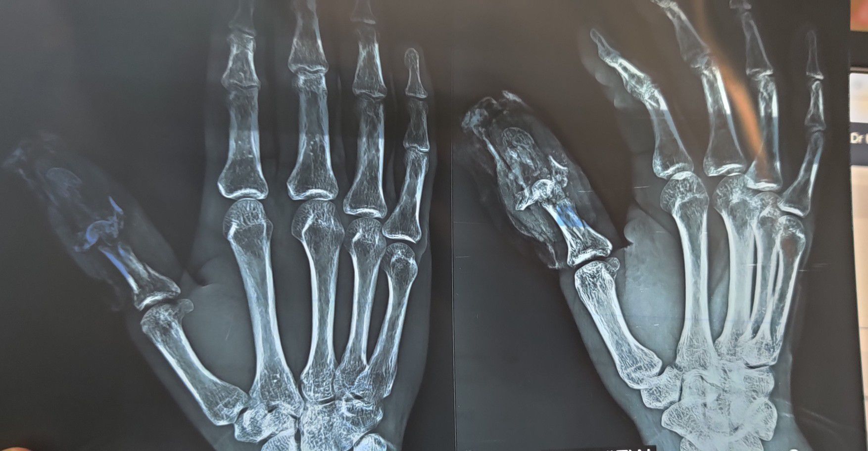
Traumatic Injury to Thumb
Trauma
Xray
Orthopaedics
0
0
0
Other comments
Sign in
to post comments. You don't have an account?
Sign up now!
Related posts
What is Rheumatoid Arthritis? | Johns Hopkins Rheumatology
Ankylosing Spondylitis | HLA-B27, Pathophysiology, Signs & Symptoms, Diagnosis, Treatment
What is scoliosis?
Osteosarcoma - Pathology, Symptoms, Diagnosis, Treatment
Avulsion
Types of Dental Trauma
Chest X-Rays
Traumatic exposure of pulp
Traumatic ulcer
External nose bones
Recent MCQs
Show more MCQs
Recent flashcard sets
Show more flashcards
Feed
Learn
Add
Search
Discuss