
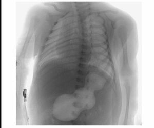
Hypertrophic pyloric stenosis, its preference to male gender is quite intriguing. Ddx: obstruction by a mass lesion(given the age).
It's a 23 day old. So he isn't exactly gonna cooperate with the radio tech to be placed in optimal position. He was probably just moving or looking around. Not scoliosis.
Hypertrophic pyloric stenosis ;UGI Fluoroscopy show :distended stomach ,Caterpillar sign,string sign due to enlarged pylorus with narrow Lumen ,beak sign