MEDizzy
MEDizzy
Pegasus MD
Pegasus MDabout 7 years ago
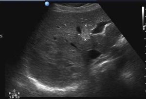
Exam time😁

Exam time😁

Guess what-3

23
Top rated comment
about 7 years ago

Liver- most likely a hemangioma but focal fatty sparing is a differential.

Other commentsSign in to post comments. You don't have an account? Sign up now!
about 7 years ago

Maybe hepatic hemangioma?

about 7 years ago

Liver with some solid mass lesion , multiple hypoechoic lesion seen in lower part too.. can it be liver abscess?

about 7 years ago

Cvc liver?

about 7 years ago

What is the answer??

about 7 years ago

Liver/Hemangioma. Thank you guys☺️👍🏻

Recent MCQs















Show more MCQs

Recent flashcard sets















Show more flashcards