
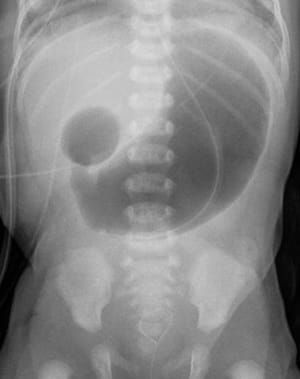
Duodenal Atresia is the congenital anomaly in which there is failure of recanalization of the duodenal canal. The conditions which are associated with it are maternal poly-hydramnions, Downs syndrome and annular pancreas. The child present with abdominal distension, bilious vomiting and dehydration. The abdominal x-ray show the DOUBLE BUBBLE SIGN (pre-stenotic dilation of stomach and proximal duodenum with no distal bowel gas) Management: DUODENODUODENOSTOMY