
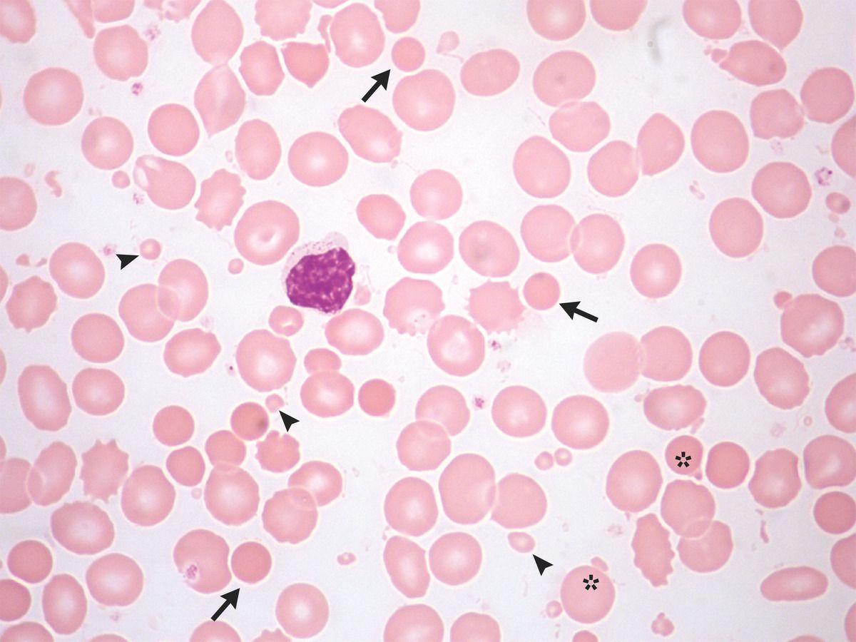
An 80-year-old woman who had been admitted to the intensive care unit (ICU) with severe burns was noted to have an elevated platelet count. She had been rescued from a house fire and admitted to the ICU for the management of second- and third-degree burns involving 55% of her body-surface area. On presentation, laboratory studies were notable for a platelet count of 930,000 per cubic millimeter (reference range, 150,000 to 400,000) with a normal hemoglobin level, normal mean corpuscular volume, and a red-cell distribution width of 18.4% (reference range, 11.6 to 14.8). A subsequent peripheral-blood smear showed abnormally shaped erythrocytes in the form of spherocytes (arrows), microspherocytes (arrowheads), and cells with budding projections (asterisks). A manual analysis of the peripheral-blood smear identified a platelet count of 115,000 per cubic millimeter. A diagnosis of pseudothrombocytosis was made. In patients with severe burn injuries, heat-induced disruption of the red-cell membranes can generate smaller cells that may be incorrectly counted as platelets by automated counters. The pseudothrombocytosis resolves when the abnormal cells are removed from circulation. On hospital day 3, both an automated platelet count and a manual platelet count showed 92,000 per cubic millimeter. After a 44-day hospital stay, the patient was discharged home in stable condition.