
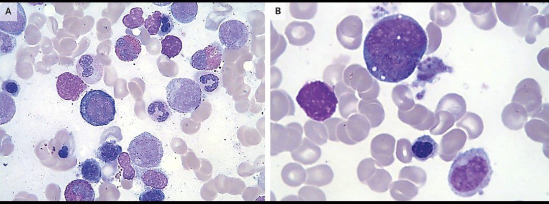
A 73-year-old woman was referred to the hematology clinic for evaluation of anemia that had been detected by her primary care physician during an evaluation for fatigue. Her medical history included alcohol use disorder. The patient reported no blood in her stool or urine. Laboratory studies showed a hemoglobin level of 8.5 g per deciliter (reference range, 11.5 to 15.5), with a mean corpuscular volume of 96.3 fl (reference range, 80 to 100) and normal platelet and white-cell counts. Liver-function tests and serum iron, folate, and vitamin B12 levels were normal. Bone marrow biopsy was performed, which revealed trilineage hematopoietic maturation with severe dyserythropoiesis, including enlarged immature nuclei and nuclear irregularity (Panel A), vacuoles in erythroid precursors (not shown), and immature myeloid cells (Panel B). The karyotype was normal. Although this appearance of the bone marrow was possibly consistent with myelodysplastic syndrome, these findings may also be seen in copper deficiency. The copper level in this patient was 40 μg per deciliter (6.3 μmol per liter; reference range, 85 to 155 μg per deciliter [13.4 to 24.4 μmol per liter]). Oral copper supplementation was initiated. At follow-up 3 months after presentation, the patient’s fatigue had abated and the anemia had resolved.