
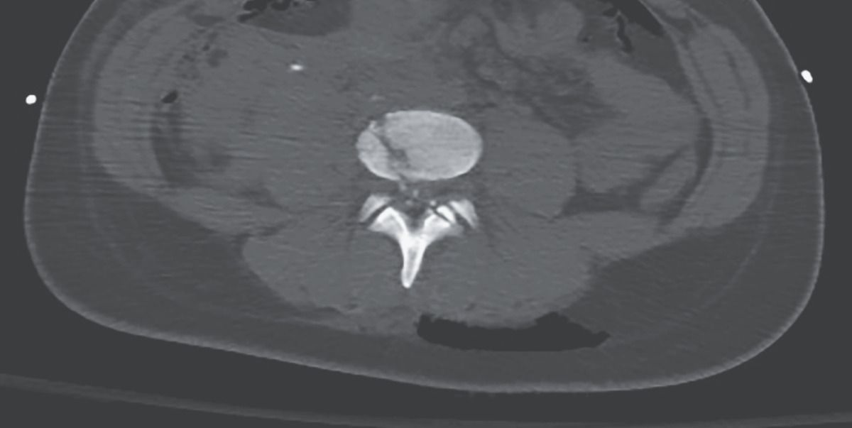
A 19-year-old woman presented to the emergency department with a single gunshot wound to the abdomen. Her blood pressure was 99/58 mm Hg, and her heart rate was 93 beats per minute. On examination, she was unable to move her legs and had complete loss of sensation below the knees. A computed tomographic angiogram showed active extravasation from the inferior vena cava as well as a comminuted fracture extending through the L4 vertebral body, with bone fragments seen in the spinal canal. The patient was taken to the operating room, where she underwent exploratory laparotomy and vascular repair. Within 24 hours after presentation, she also underwent transforaminal lumbar interbody fusion of the L3–L4 and L4–L5 vertebrae. Comminuted fractures (those in which a bone breaks into more than two fragments) are typically caused by high-energy traumatic events such as gunshot wounds. One month later, the patient had regained some sensation and movement in her feet. She was discharged to a rehabilitation facility.