
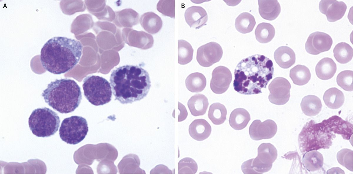
A 31-year-old man with refractory acute myeloid leukemia (AML) presented to the outpatient oncology clinic with worsening pain due to known spinal involvement of the leukemia. He had received the diagnosis of AML 2 years earlier, and the disease had progressed despite treatment that included chemotherapy and allogeneic stem-cell transplantation. He was admitted to the hospital to receive analgesic agents and further treatment. Seven weeks later, laboratory studies showed progressive, marked leukocytosis, with a white-cell count of 91,100 per cubic millimeter (reference range, 3900 to 10,200), and 87% of the leukocytes were myeloid blasts. A peripheral-blood smear showed multiple mitotic figures (Panel A) as well as apoptotic figures (Panel B) — rare findings that are suggestive of the highly proliferative nature of the refractory AML in this patient. The decision was made to focus on palliative care, and the patient died 4 days later.