
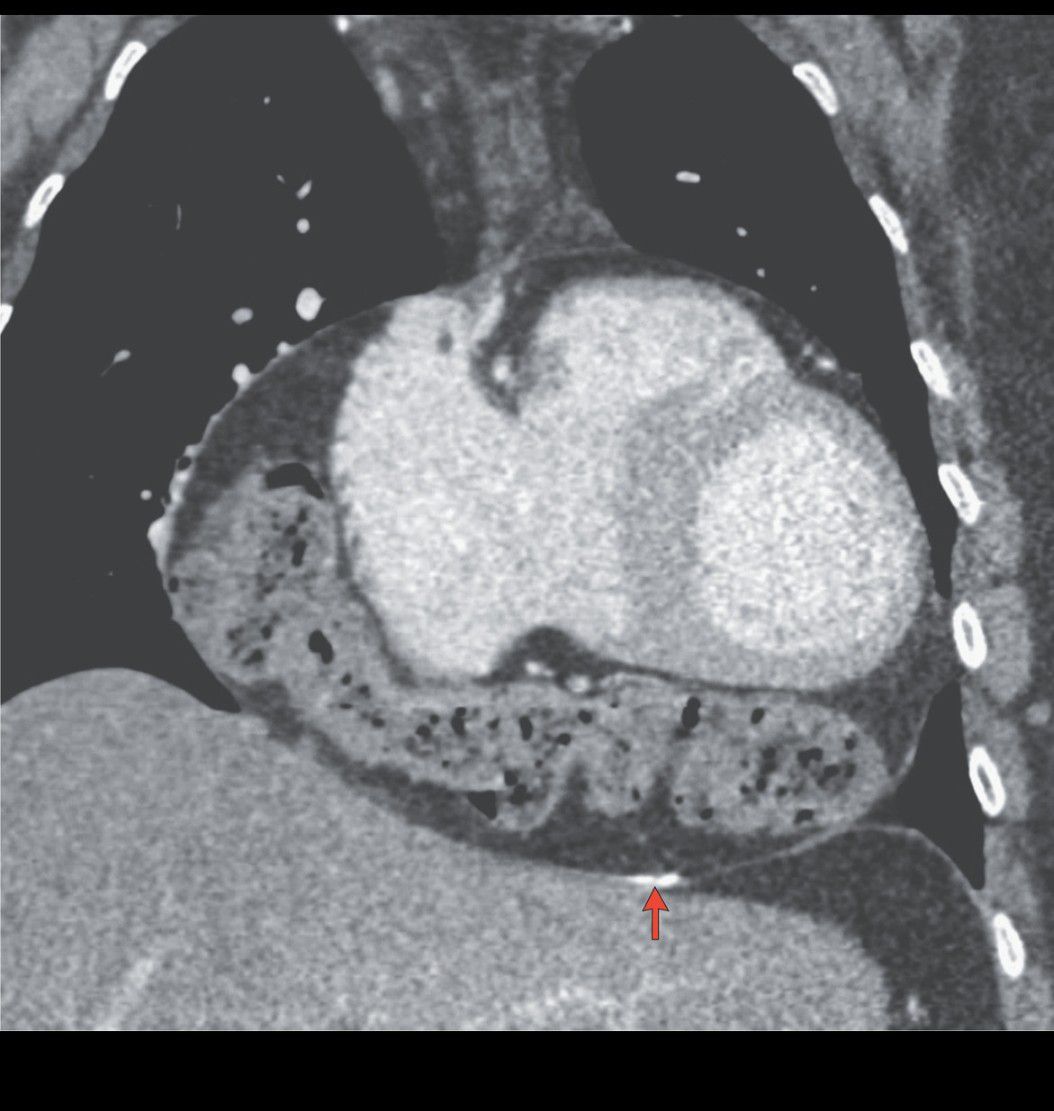
A 54-year-old woman presented to the emergency department with palpitations that she noted were relieved when she passed gas or had a bowel movement. Her medical history was notable for constrictive pericarditis that had occurred 15 years earlier and had been treated with pericardial drainage. Because of the atypical presentation, thoracic–abdominal–pelvic computed tomography with intravenous contrast material was performed, which revealed the presence of the transverse colon within the pericardial cavity. Pericardial calcification was also visible (arrow). Intrapericardial colon is considered to be a type of diaphragmatic hernia and in this case was thought to be related to the patient’s previous pericardial procedure. Laparoscopic surgery was performed to remove the colon from the pericardium, and silicone mesh material was used to repair the diaphragm. The patient was discharged 5 days after surgery. The palpitations resolved, and at follow-up 1 year later, she had had no recurrence.