MEDizzy
MEDizzy
Muhammad Ali
Muhammad Aliabout 2 years ago
Emergency case

Emergency case

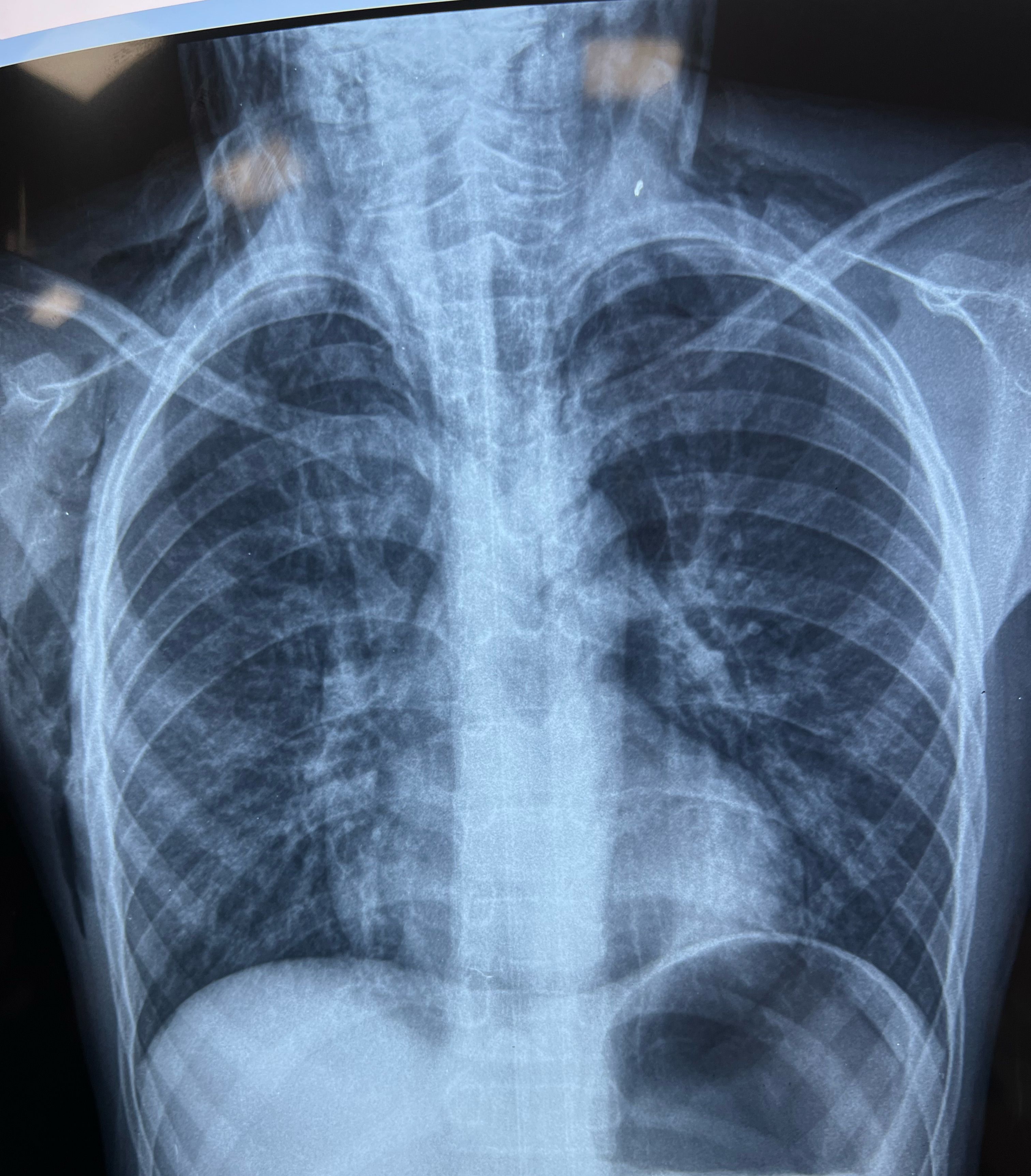
14 year’s old male RTA present after 1hr with neck swelling and SOB chest clear abdomen soft GCS 15/15 Spo2 90%-o2 HR:102 beat/min Dx

37
Other commentsSign in to post comments. You don't have an account? Sign up now!

Recent MCQs















Show more MCQs

Recent flashcard sets















Show more flashcards