

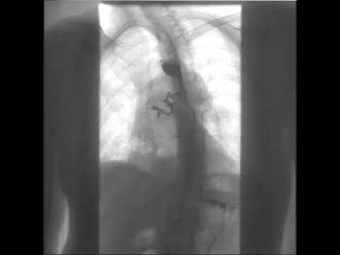
A 50-year-old man presented to the emergency department with a 5-day history of shortness of breath, chest pain, and a cough. Fifteen days before presentation, he had received a diagnosis of large-cell neuroendocrine carcinoma of the lung with brain metastases. The oxygen saturation was 93% while the patient was breathing ambient air. The physical examination was notable for diminished breath sounds in the right lower lobe, as well as paroxysms of cough after fluid intake. Computed tomography of the chest showed diffuse bilateral interstitial infiltrates, as well as the known lung lesion surrounding the middle third of the esophagus. Testing for severe acute respiratory syndrome coronavirus 2 (SARS-CoV-2) was negative. Water-soluble contrast esophagography revealed material passing from the esophagus to the right bronchial tree and ascending to the right main bronchus and trachea as the patient coughed (see video). A diagnosis of bronchoesophageal fistula due to lung carcinoma was made. A covered, self-expanding metal stent was placed in the esophagus, which alleviated the patient’s cough and chest pain. Treatment with chemotherapy was initiated; however, the patient transitioned to hospice care and died 4 weeks after presentation.
Source: https://youtube.com/shorts/T7ZczlO88xU?si=JwyEYEc_CLBU2vl2