
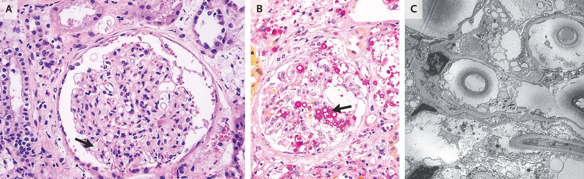
A 46-year-old man presented to the emergency department with a 2-week history of diarrhea, nausea, abdominal pain, and weakness. He reported a weight loss of 8 kg in the preceding 2 months and was sexually active. Results of laboratory studies showed a serum creatinine level of 2.4 mg per deciliter (212 μmol per liter; reference range, 0.7 to 1.2 mg per deciliter [62 to 106 μmol per liter]); there was no previous measurement to serve as a comparison. An enzyme-linked immunosorbent assay for the human immunodeficiency virus was positive; the viral load was 114,121 copies per millimeter, and the CD4+ count was 2 cells per cubic millimeter. Despite fluid resuscitation, the patient’s renal function worsened, and a renal biopsy was performed. Light microscopy revealed abundant yeast cells with narrow-based budding and a thick, mucinous outer capsule (Panel A, arrow; staining with hematoxylin and eosin) in the glomeruli and tubulointerstitial compartment. A mucicarmine stain identified microorganism capsules (Panel B, arrow), and yeast forms were revealed on electron microscopy (Panel C). A diagnosis of renal cryptococcosis was made. During hospitalization, neurologic and respiratory symptoms developed, and a cerebrospinal fluid sample was positive for Cryptococcus neoformans. Despite treatment that included liposomal amphotericin B and flucytosine, the patient died from complications of disseminated cryptococcosis.