
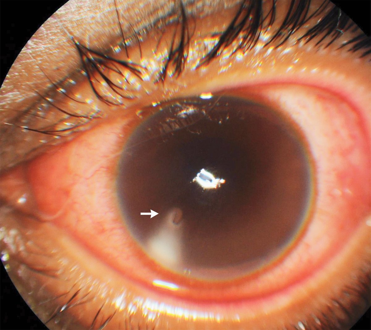
A 22-year-old man presented to the emergency department with redness, pain, and decreased vision 1 hour after being stung by a bee in the left eye. The visual acuity in the right eye was 20/20, but the patient reported seeing only hand movements close to his face with the left eye. Ocular examination of the left eye showed diffuse corneal haziness caused by corneal edema; a retained stinger that was surrounded by infiltrates was visible (arrow). Corneal bee stings, although rare, can have manifestations ranging from mild irritation to vision loss. Possible complications include corneal decompensation and secondary glaucoma. The patient was treated with a moxifloxacin ophthalmic solution, and the stinger was removed under local anesthesia. The corneal wound was secured with sutures after thorough cleansing of the anterior chamber. The patient was prescribed a 2-week course of topical glucocorticoids, antibiotics, and cycloplegic medications. At the 3-month follow-up, the corneal edema had resolved and the visual acuity was 20/40 in the left eye.