
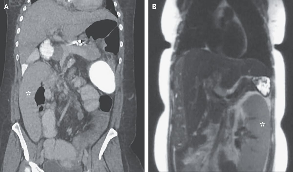
A 36-year-old woman presented to the emergency department with a 1-day history of abdominal pain and vomiting. She had ulcerative colitis, as well as cirrhosis due to primary sclerosing cholangitis, and her surgical history included a total colectomy, cholecystectomy, and appendectomy. The physical examination was notable for diffuse abdominal tenderness. Laboratory studies showed a lipase level of 682 IU per liter (reference range, 5 to 50). Abdominal computed tomography showed that the spleen was located in the right lower quadrant (Panel A, asterisk), with the pancreatic tail looped inferiorly and to the right. Two days before the current presentation, the patient had undergone routine screening for hepatocellular carcinoma by means of magnetic resonance cholangiopancreatography, which had shown the spleen located on the left side of the abdomen (Panel B, asterisk), along with a normal-appearing pancreas. No biliary stones were seen. Wandering spleen is an uncommon condition that can occur as a result of laxity of the splenic ligaments. As the spleen moves, it can cause torsion of the structures in or near the splenic hilum, including the pancreatic tail, which may cause acute pancreatitis. Definitive treatment for this condition is splenectomy. The patient received parenteral pain-control treatment and hydration, and her abdominal pain and vomiting resolved. In this case, splenectomy was deferred because evaluation for liver transplantation was ongoing.