MEDizzy
MEDizzy
Saukat___💕
Saukat___💕about 2 years ago
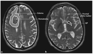
Representative picture of hematoma and perihematoma.......,................

Representative picture of hematoma and perihematoma.......,................

Download scientific diagram| Representative pictures of hematoma and perihematoma edema measurements. a ROIs drawn around the perimeters of the perihematoma edema and hematoma. b ROIs drawn...

23
Other commentsSign in to post comments. You don't have an account? Sign up now!

Recent MCQs

‌
‌

‌
‌

‌
‌

‌
‌

‌
‌
Show more MCQs

Recent flashcard sets

‌
‌

‌
‌

‌
‌

‌
‌

‌
‌
Show more flashcards