MEDizzy
MEDizzy
Hanin Kaa
Hanin Kaaabout 7 years ago
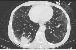
What is your diagnosis??

What is your diagnosis??

19
Other commentsSign in to post comments. You don't have an account? Sign up now!
about 7 years ago

Lung cancer due to smoking

about 7 years ago

Fibrosis

about 7 years ago

Wow, the cigarretes and the lighter are in the pacient’s pocket! 😔

almost 7 years ago

iam student:D/D aspirational pneumonia as it at posterior portion of right lungs. further serology req

Recent MCQs















Show more MCQs

Recent flashcard sets















Show more flashcards