MEDizzy
MEDizzy
Saeed Tavakoli
Saeed Tavakoliabout 7 years ago
Hand truma

Hand truma

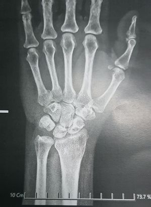
63 ys female that dropped on her left hand and complaine of painful and swelling

13
Top rated comment
about 7 years ago

Is it scaphoid fracture

about 7 years ago

And?

Other commentsSign in to post comments. You don't have an account? Sign up now!
about 7 years ago

The patient have rhumatoid arthritis ๐Ÿ˜ฎ?

about 7 years ago

No in her past history isn't it

about 7 years ago

Is there any history of chronic illness?

about 7 years ago

Diabetes

about 7 years ago

Osteoporosis?

about 7 years ago

Age related

about 7 years ago

Can you please tell us what are we missing? I'm lost๐Ÿ˜…

about 7 years ago

I told that osteoporosis is age related

Related posts
No related posts found

Recent MCQs

โ€Œ
โ€Œ

โ€Œ
โ€Œ

โ€Œ
โ€Œ

โ€Œ
โ€Œ

โ€Œ
โ€Œ
Show more MCQs

Recent flashcard sets

โ€Œ
โ€Œ

โ€Œ
โ€Œ

โ€Œ
โ€Œ

โ€Œ
โ€Œ

โ€Œ
โ€Œ
Show more flashcards