
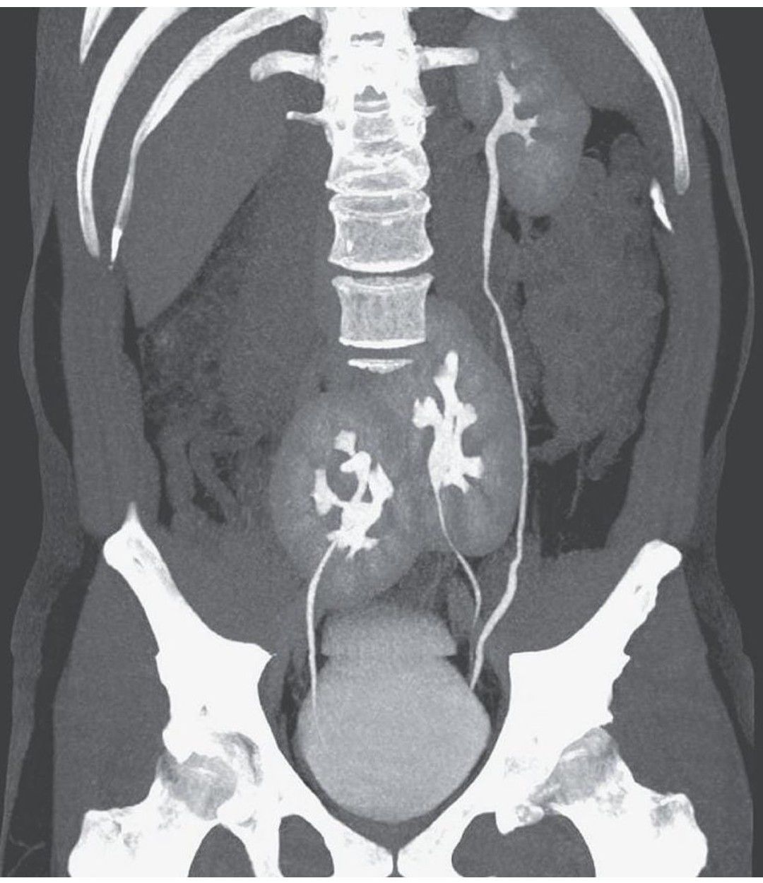
A Brazilian man discovered he has a third kidney after going to the doctor with severe low back pain. A man presented to the outpatient clinic with severe low back pain. As part of the evaluation, computed tomography (CT) was performed. The scan incidentally showed the presence of three kidneys: a normal-appearing left kidney and two fused kidneys in the pelvis. The ureter from the left pelvic kidney joined the ureter from the other left kidney just above its entrance into the bladder. The ureter from the right pelvic kidney entered the bladder on the right side. The CT scan also showed a herniated disk between L4 and L5. Renal function was normal, with a creatinine level of 0.9 mg per deciliter (80 μmol per liter) (normal range, 0.6 to 1.0 mg per deciliter [53 to 88 μmol per liter]). This uncommon congenital abnormality was thought to be the consequence of aberrant processes during embryogenesis. The duplicate left kidney may have resulted from a premature division of the left ureteral bud. In addition, the right and lower left developing kidneys fused and did not ascend during development. Affected persons are commonly asymptomatic, and as in this case, the condition may not become known until imaging is performed for another reason. The patient’s back pain was attributed to the lumbar disk herniation, and he was treated with an oral analgesic agent. Photo Credit: The New England Journal of Medicine Reference: https://www.nejm.org