Feed
Library
Learning
Discuss
Leaderboard
Journal
Sign in
Login
Sign up
Sign in
Feed
Library
Learning
Discuss
Leaderboard
Journal
Hanin Kaa
about 7 years ago
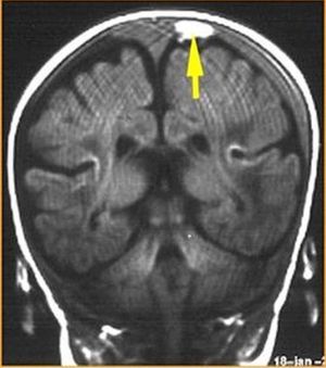
What is your diagnosis??
Radiology
Mri
Humanbrain
23
7
13
Top rated comment
Rupesh R
about 7 years ago
Subdural hematoma
4
Reply
Hanin Kaa
about 7 years ago
👍🏻😉
0
Other comments
Sign in
to post comments. You don't have an account?
Sign up now!
Jiessu
about 7 years ago
Subdural hematoma.
1
Reply
Hanin Kaa
about 7 years ago
👍🏻
0
N
Neurolover
about 7 years ago
Sub. Hematoma
1
Reply
Johnny Queen
about 7 years ago
Subdural Hematoma
1
Reply
Gabriel
about 7 years ago
Subdural hematoma
1
Reply
Related posts
How to Read MRI III
How to Read MRI IV
How to Read MRI V
How to Read MRI VII
How to Read MRI VIII
How to Read MRI IX
How to Read MRI X
Basic Brainstem Radiology
Spine Radiology I
Spine Radiology II
Recent MCQs
Show more MCQs
Recent flashcard sets
Show more flashcards
Feed
Learn
Add
Search
Discuss